![]() |
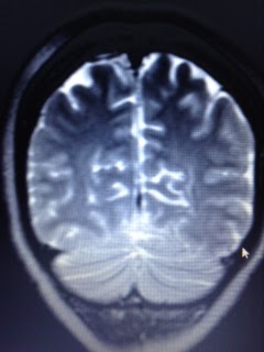
| June 2014 MRI. Neurosurgeon says some of the white space ( top left corner ) is scar tissue from my brain injuries. |
The rain will be here soon and it’s humid outside. I can tell because of how my shunt and scalp feels. Since the early hours of 3am, I’ve had throbbing pains on the shunt valve, occasionally in my abdomen where the distal catheter ends and in different parts of my scalp from the scar tissue.
![]() |
| My brain looks like a walnut. |
In response to my cerebral shunt attempts to predict the impending rain tomorrow, I’ve posted a question on a hydrocephalus support group I’m a member of online about how other people who have programmable shunt valves cope with pain issues associated with the changing weather patterns.
*Update as of 9/19 – It’s been raining all day today and sure enough, my shunt is responding to it with pain on the shunt valve and upset stomach were distal catheter ends. Some of the responses I’ve received from my original question posted online have been the same: Pain is from changes in weather patterns, sometimes pain medication helps, others just lay down to deal with the pain. If I don’t have to go anywhere, I stay home curled up somewhere. Pain medication works for headache pain, not for my shunt, scalp and nausea pain. Other people with shunts have said they can too can predict when it’s going to rain before it occurs because of how they’re shunt responds.

